

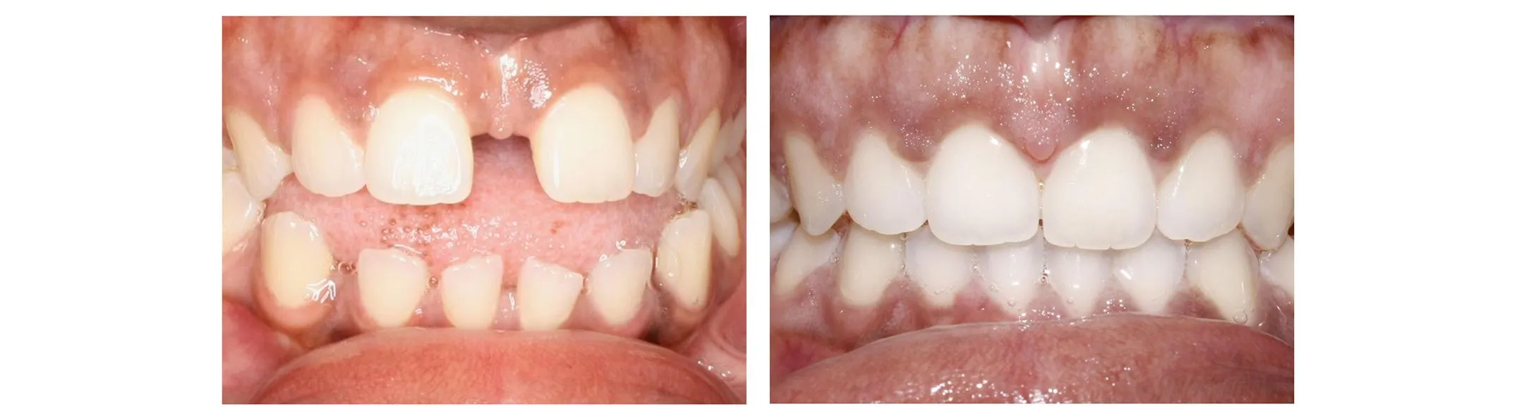
Dr. Steven Kalensky has been treating patients with clear aligner therapy for over 15 years, and he achieves great results for patients. Clear Aligners can correct a variety of issues including spacing, crowding and bite problems.
Clear:
The treatment involves a series of invisible, removable aligners that no one can tell you're wearing. So, you can smile more during treatment as well as after
Comfortable:
The aligners move your teeth gently so patients do not experience the extreme soreness associated with braces. Also, since there are no wires and brackets involved, you do not have to deal with mouth abrasions.
Conservative:
Clear aligners can straighten all your teeth for a fraction of what it would cost to correct issues with other methods. Additionally Invisalign does not requiring extensively altering your natural teeth, so when you are finished your smile will be beautiful and healthy.
Consider clear aligners to get the beautiful straight teeth you've always wanted — without braces. A complimentary consultation with Dr. Steven Kalensky can determine if it is right for you.




.webp)


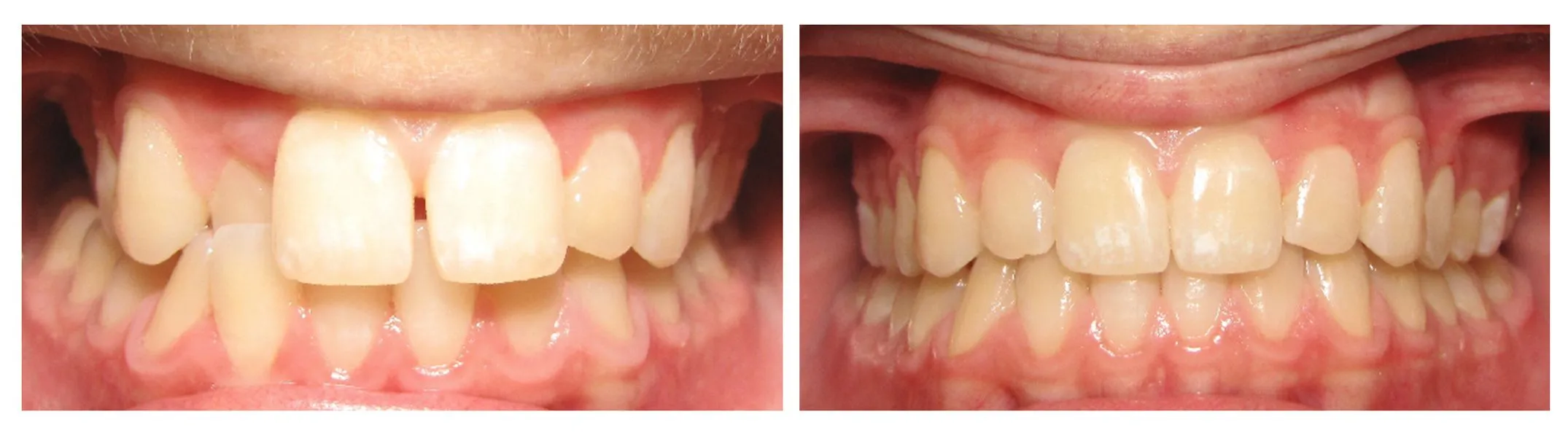
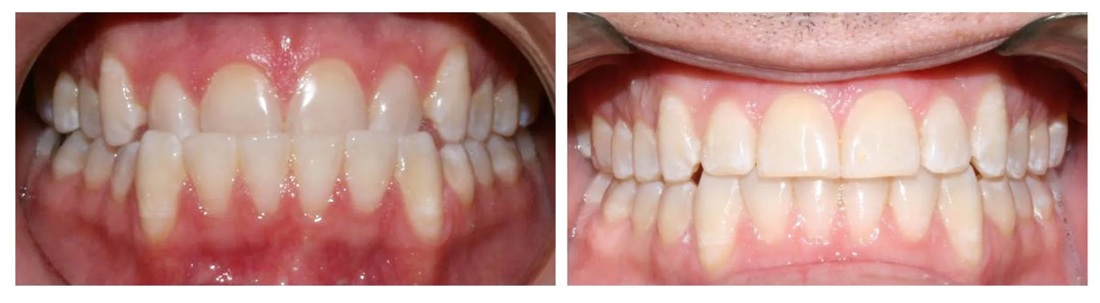
Dr. Steven Kalensky has been treating patients with clear aligner therapy for over 15 years, and he achieves great results for patients. Clear Aligners can correct a variety of issues including spacing, crowding and bite problems.
Clear:
The treatment involves a series of invisible, removable aligners that no one can tell you're wearing. So, you can smile more during treatment as well as after
Comfortable:
The aligners move your teeth gently so patients do not experience the extreme soreness associated with braces. Also, since there are no wires and brackets involved, you do not have to deal with mouth abrasions.
Conservative:
Clear aligners can straighten all your teeth for a fraction of what it would cost to correct issues with other methods. Additionally Invisalign does not requiring extensively altering your natural teeth, so when you are finished your smile will be beautiful and healthy.
Consider clear aligners to get the beautiful straight teeth you've always wanted — without braces. A complimentary consultation with Dr. Steven Kalensky can determine if it is right for you.




.webp)
